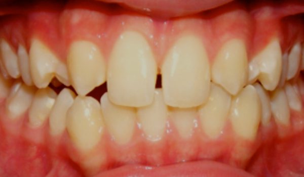
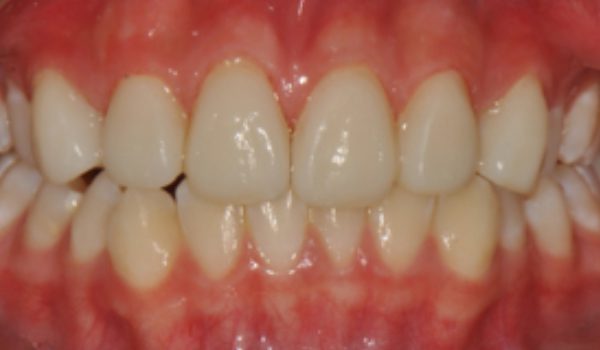
Porcelain Veneers
If you’re looking to transform your smile, porcelain veneers offer a long-lasting, natural-looking solution. At Mt Eliza Dental Centre, we use high-quality, custom-made veneers to enhance the appearance of your teeth, improving their shape, colour, and alignment with minimal tooth preparation.
If you’re ready to achieve a brighter, more confident smile, book a consultation today to learn more about porcelain veneers!


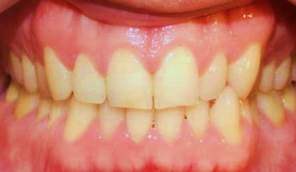
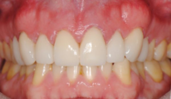
Composite Veneers


Composite veneers offer a versatile and cost-effective way to enhance your smile. At Mt Eliza Dental Centre, we use high-quality composite resin to create custom veneers that can improve the appearance of your teeth, correcting issues such as discolouration, chips, gaps, and slight misalignments.
Composite veneers offer a quick, effective, and affordable way to achieve a beautiful, confident smile. Book a consultation today to see if they’re right for you!


