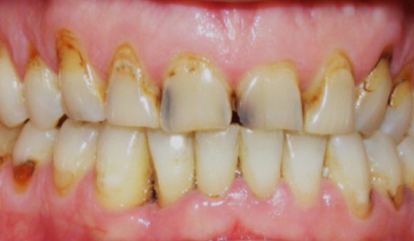
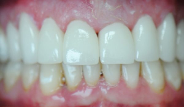
Implants
Dental implants are an advanced, reliable, and long-lasting solution for replacing missing teeth, offering a permanent alternative to traditional options like dentures or bridges. Implants are designed to restore both the function and appearance of your smile, providing a more comfortable and natural feel compared to other methods.
Whether you’re replacing a single tooth, multiple teeth, or even a full set, dental implants offer a customizable solution that addresses your unique needs. They are often the preferred choice for those looking for a reliable, long-term solution to missing teeth, especially when traditional options may fall short in terms of comfort or durability.
If you’re looking to restore your smile with a more natural, stable solution, dental implants could be the ideal option for you. Book a consultation at Mt Eliza Dental Centre today to discover how implants can transform your smile and enhance your quality of life.




