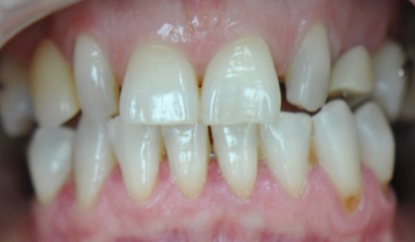
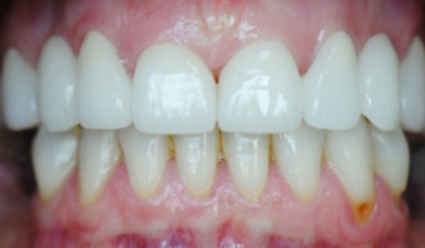
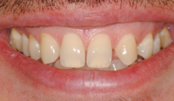
Crowns
Crowns are a reliable solution for both restoring damaged teeth and improving their appearance. They are often used when a tooth is worn, broken, or when veneers aren’t suitable for cosmetic purposes.
A crown fits over the existing tooth, covering and strengthening it, effectively preserving the tooth’s structure. Thanks to modern dental ceramics and advanced bonding techniques, crowns can now be made to blend seamlessly with your natural teeth, providing a durable, natural-looking result.
If you’re dealing with a damaged or weakened tooth, a crown could be the solution. Book a consultation today to find out how crowns can restore your smile.


Bridges


A dental bridge is a durable and natural-looking solution for replacing missing teeth. It uses crowns placed on the healthy teeth on either side of the gap to support a replacement tooth, effectively “bridging” the space. Unlike dentures, bridges are fixed in place, providing a stable, permanent solution that feels just like your natural teeth.
If you’re missing teeth and want a reliable, comfortable solution, a dental bridge could be right for you. Book a consultation today to find out more!


